深广电第一现场2019年6月12日讯 鱼骨卡喉你肯定听过,可是,你听过鱼骨卡“肛门”吗?近日,深圳福永人民医院肛肠科接诊了一位被鱼骨头卡住“肛门”的特殊患者,别说不信,是真的!
据福永人民医院肛肠科医生介绍,家住福永街道的年轻小哥黄某晨起排便时突感肛门刀割样疼痛,疼痛剧烈,排便时尤为明显,排出的不是大便,而是鲜血,以致不敢排便。

凭着平时积累的知识,黄某自我诊断是患“痔疮”了,于是药店买了“痔疮药”塞肛治疗。而“肛门疼痛和出血”不缓解,以致饭吃不下,觉也睡不着。
眼看着再不能耽误了,黄某决定前往福永人民医院肛肠科就诊。肛肠科医生依据经验和检查判断,黄某应该不是痔疮引起的出血,而是另有原因,需要马上住院治疗。
▲福永人民医院肛肠科副主任医师雷霆
果然,经过专科检查和盆腔CT检查黄某被诊断为:直肠异物嵌顿。

随后,肛肠科医生在黄某直肠内成功取出一圆片状鱼骨,约2.0*2.5cm大小,边缘锐利,已经割破了直肠腔间的多处黏膜了。

(向右移动,取出的鱼骨)
经过了解,黄某近期确实吃过鱼,而且,黄某吃东西习惯不好,吃东西经常囫囵吞肉。手术取出卡住“肛门”的鱼骨之后,黄某表示,以后再也不敢“囫囵吞骨”了。
吃鱼吃到鱼骨卡“肛门”,这位深圳小哥的故事简直超乎了小编的想象力。
而下面东莞小哥喝酒喝到吞钥匙
小编也是醉了~醉了~
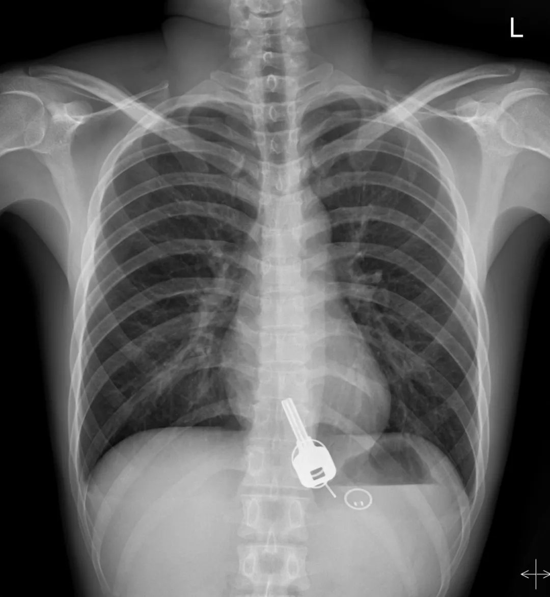
广东东莞的常先生酒后回家找不到钥匙,酒醒后他感到胸口疼痛,去医院一查,发现一把铁钥匙、2个钥匙扣、1个门禁牌清楚显示在肚子胃区的位置上。

医生准备在胃镜下取出钥匙,不料,因钥匙太大在常先生喉咙附近食管入口处卡住了,取不出来,最后,医生决定给常先生做无痛胃镜,麻醉后,常先生食管入口处肌肉松弛,钥匙终于顺利取出!。
医生提醒大家
吃东西要细嚼慢咽,切勿学“英雄豪杰”“大口吃肉大口喝酒”,以致“囫囵吞骨”带来“爆菊花”的痛苦。
如果误吞异物,不要硬吞,一定要在最短的时间内到医院就诊,避免异物损伤消化道,造成消化道出血、穿孔,甚至伤及气道及主动脉而危及生命。
第一现场、壹深圳客户端记者:杨语然